製品情報
リピオドール®480注10mLの特徴
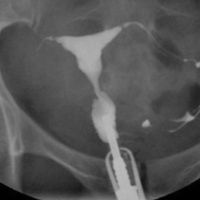
子宮卵管造影(hysterosalpingography:HSG)は、造影剤を子宮腔内に注入し、子宮内腔、卵管の陰影から子宮腔の状態、卵管の疎通性および骨盤腔内の癒着を判定する検査です。
国内唯一の油性造影剤
天然成分である「ケシ油」が基となっています。
良好な造影能
ヨード造影剤の中で最もヨード濃度が高く1)、子宮卵管内の状態の評価が容易です2)3)。
1)日本医学放射線学会 造影剤安全性委員会. X線造影剤 製剤別適応一覧表. 2019年4月改訂
2)岩下光利: 日産婦誌.2007; 59(4): N46-48.
3)百瀬和夫ほか: 日本不妊学会雑誌.1981; 26(2): 183-186. (再審査評価資料)
組成・性状
本剤は1アンプル中、ヨード化ケシ油脂肪酸エチルエステル10mLにヨウ素量として4.8g(38w/w%)を含有する。
| 内容量 | 10 |
|---|---|
| ヨード含有量(mg/mL) | 480 |
| 1アンプル中のヨード含有量(g) | 4.8 |
| 性状 | 淡黄色~黄褐色の澄明な粘性の油性注射液 |
効能・効果
子宮卵管撮影(hysterosalpingography:HSG)
用法・用量
子宮卵管撮影
用時医師が定める。ただしヨード化ケシ油脂肪酸エチルエステルとして、通常、5~8mLを200mmHg以下の圧で注入することを原則とし、症状により適宜増減する。
リピオドール®の臨床成績(子宮卵管撮影)
百瀬和夫ほか: 日本不妊学会雑誌.1981; 26(2): 183-186.( 再審査評価資料)
対象:子宮卵管造影を実施した1,050例(うち原発不妊又は続発不妊患者は852例)
方法:月経終了後4、5日に造影剤としてリピオドール®480注10mLを使用し、子宮卵管造影を実施した。
患者背景(適応)
|
適応 |
例数 |
頻度 |
|---|---|---|
|
原発不妊 |
565 |
53.8% |
|
続発不妊 |
287 |
27.4% |
|
習慣流産 |
75 |
7.2% |
|
下腹部腫瘤 |
92 |
8.8% |
|
月経異常 |
22 |
2.1% |
|
子宮奇形 |
8 |
7.6% |
|
卵管再疎通 |
1 |
0.1% |
|
計 |
1,050 |
|
結果
総症例1,050例において本剤の造影能に良好な成績が得られました。
安全性
1,050例中、主な副作用は油性剤の残留5例(0.5%)、腹痛2例(0.2%)、胸痛1例(0.1%)でした。
術中、術後に検査を中断、あるいは治療を必要とする合併症は認められませんでした。
※副作用の詳細はDIの安全性情報をご参照ください。
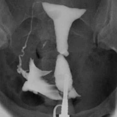
不妊患者におけるX線像
不妊患者852例中75例(8.8%)に脈管内侵入がみられましたが、臨床症状を呈したものはなく、アレルギー反応も認められませんでした。
子宮
|
子宮像 |
原発不妊 |
続発不妊 |
計 |
|||
|---|---|---|---|---|---|---|
|
正常 |
289 |
51.2% |
137 |
47.7% |
426 |
50.0% |
|
発育不全・萎縮 |
118 |
20.9% |
31 |
10.8% |
149 |
17.5% |
|
弛緩状 |
27 |
4.8% |
20 |
7.0% |
47 |
5.5% |
|
辺縁微細不正 |
1 |
0.2% |
1 |
0.4% |
2 |
0.2% |
|
辺縁粗大不正 |
27 |
4.8% |
17 |
5.9% |
44 |
5.2% |
|
ポリープ状増生 |
26 |
4.6% |
7 |
2.4% |
33 |
3.9% |
|
奇形 |
32 |
5.6% |
21 |
7.3% |
53 |
6.2% |
|
欠損 |
12 |
2.1% |
4 |
1.4% |
16 |
1.9% |
|
変形 |
3 |
0.5% |
0 |
0% |
3 |
0.3% |
|
外傷性癒着 |
0 |
0% |
4 |
1.4% |
4 |
0.5% |
|
脈管内侵入 |
30 |
5.3% |
45 |
15.7% |
75 |
8.8% |
|
計 |
565 |
287 |
852 |
|||
卵管
|
卵管像 |
原発不妊 |
続発不妊 |
計 |
||||
|---|---|---|---|---|---|---|---|
|
両側通 |
417 |
74.7% |
203 |
70.3% |
620 |
74.2% |
|
|
一側通 |
他側癒着 |
15 |
2.7% |
9 |
3.2% |
24 |
2.9% |
|
他側閉塞 |
12 |
2.2% |
12 |
4.3% |
24 |
2.9% |
|
|
他側不明 |
34 |
6.1% |
21 |
7.6% |
55 |
6.6% |
|
|
両側癒着 |
27 |
4.8% |
5 |
1.8% |
32 |
3.8% |
|
|
一側癒着 |
他側閉塞 |
16 |
2.9% |
2 |
0.7% |
18 |
2.1% |
|
他側不明 |
1 |
0.2% |
0 |
0% |
1 |
0.1% |
|
|
一側閉塞・他側不明 |
0 |
0% |
1 |
0.4% |
1 |
0.1% |
|
|
両側閉塞 |
36 |
6.4% |
25 |
9.0% |
61 |
7.3% |
|
|
計 |
558 |
278 |
836 |
||||
|
不明 |
7 |
9 |
16 |
||||
※「警告・禁忌・原則禁忌を含む使用上の注意」等はDI頁をご参照ください。
リピオドール®480注10mLの歴史
ゲルべ社はフランスで創業90年の実績をもつ造影剤分野のパイオニアで、医療用画像を専門とするグローバル企業です。 リピオドール®は、1901年にMarcel Guerbet;マルセル ゲルべが初めて発見した油性造影剤で、本邦においては1963年に「リピオドール® ウルトラフルイド」として輸入承認を取得し販売しております。